Fast, Safe,
and Healthy
Cavity Treatment

Even in its early stages, tooth decay can lead to serious damage if left untreated.
At SMILE FACE DENTAL CLINIC, we use state-of-the-art equipment and clinically proven materials to accurately remove cavities and restore your teeth to their natural shape and color.
Our goal is to reduce pain and discomfort through minimally invasive treatment while protecting your long-term oral health.

Ten Years of Clinical Training
and Specialty Education
A Specialist in Saving Natural Teeth
Restorative Dentistry Expert

Dentists who have completed over ten years of education and training
including 2 years of pre-dental study, 4 years of dental school, 1 year of internship, and 3 years of residency
are true experts in dental care.
Yet, even these specialists sometimes develop cavities and need fillings or, when the decay is severe, root canal treatment.

So how do these highly particular dentists,
who are more meticulous about their own teeth than anyone else, receive treatment themselves?

Who Do Dentists Go to
for Root Canal Treatment?

When surveyed, more than 9 out of 10 practicing dentists give the same answer:

“They would choose to be treated by a restorative dentistry specialist.”

While many people may view procedures like implants or orthodontics as more critical, sometimes overlooking fillings or root canals, dentists who are experts in teeth think differently.
They fully understand the value of preserving natural teeth and maintaining oral health, which is why they trust only a restorative dentistry specialist for such treatments.

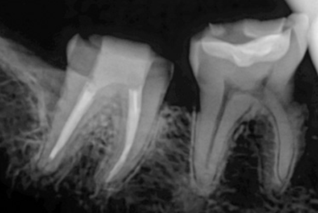
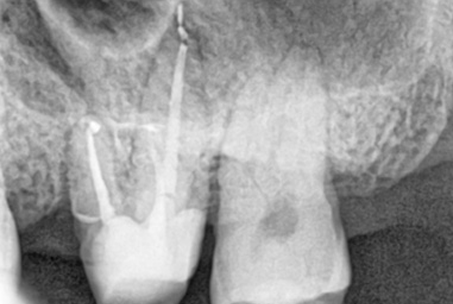
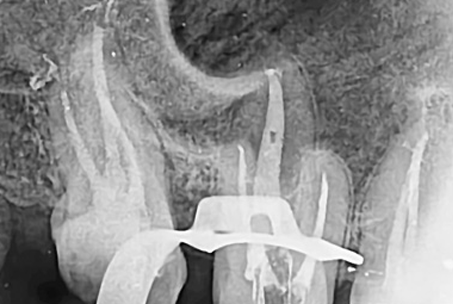
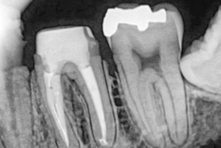
Fellow Dentists Can Recognize the Skill

The images above show actual cases treated at SMILE FACE DENTAL CLINIC.

To a non-specialist, they may appear to be ordinary X-rays, but dentists can instantly recognize them.
They can appreciate both the complexity of the treatment and the care and precision involved.

“Why not just get an implant?”
Nothing is better than your natural teeth.

Now that the cost of implants has decreased, many people question whether it’s truly worth the effort to preserve their natural teeth.
Yet no matter how expertly an implant is placed, nothing compares to the value of maintaining and using your own teeth.

  • STEP 01
    Enamel Cavity
    • Occurs on the outer layer of the tooth (enamel)
    • Usually painless, but regular check-ups and preventive treatment are necessary
    Regular check-ups / Fluoride application
  • STEP 02
    Dentin Cavity
    • Occurs inside the tooth (dentin) and may be noticeable
    • Progresses faster and may cause a decayed smell
    • Pain may occur when exposed to cold air or water
    • Treatment involves filling the cavity
    Minimally invasive preparation / Resin filling
  • STEP 03
    Pulpitis (Inflamed Tooth Nerve)
    • Inflammation of the tooth nerve (pulp)
    • Repeated severe pain
    • Pain may temporarily subside during treatment, but recurrence is possible, requiring continuous care
    Inlay / Onlay
  • STEP 04
    Pulp Necrosis
    • Inflammation extends to the tooth root
    • Severe pain occurs at the early stage of necrosis
    • Requires root canal treatment, or in severe cases, extraction followed by implant surgery
    Root canal treatment / Crown

Revision Root Canal Treatment
at SMILE FACE DENTAL CLINIC

If pain or inflammation returns despite prior root canal treatments,
our revision root canal procedures effectively eliminate internal tooth infections
while preserving as much of the natural tooth structure as possible.

Still Experiencing Pain After Root Canal Treatment?
Revision Root Canal Treatment May Be Needed

This procedure involves removing the crown and existing root canal filling materials to perform the treatment again.
It is more complex than standard root canal therapy and has a lower success rate, requiring specialized expertise.
The difficulty increases significantly if the root canal is blocked or contains a post, and many patients are often told that revision treatment is impossible and that extraction is the only option.

At SMILE FACE DENTAL CLINIC, we use specialized ultrasonic instruments to locate blocked canals and remove posts from the root canal, enabling us to perform revision root canal treatment and preserve your natural teeth.

Who Needs Revision Root Canal Treatment?
  • When the initial root canal treatment was not completed properly
  • When new cavities develop around a treated tooth, causing bacterial infection
  • When some of the nerve tissue was not entirely removed during the initial treatment
  • When a crown or other restoration was left off for an extended period after treatment

Apicoectomy
at SMILE FACE DENTAL CLINIC

An apicoectomy is a procedure performed when inflammation persists after a root canal treatment.
It involves precisely removing the tip of the tooth root and thoroughly disinfecting the area to preserve the natural tooth.

If Swelling and Pain Persist After Root Canal or Revision Treatment,
the Source of Infection Is Removed.

An apicoectomy, also known as surgical root canal treatment, is a specialized procedure performed when revision root canal therapy is not possible.

During the procedure, the gum is opened, and approximately 3 mm of the tooth root causing the inflammation is carefully removed.
The tip of the root is then filled with a specialized material called MTA.
For an apicoectomy to be successful, it must be performed using specialized instruments designed for the procedure and the MTA filling material to ensure precise and effective treatment.

Who Needs an Apicoectomy?
  • When the root canal is completely blocked, making revision root canal treatment impossible
  • When multiple visits are difficult and the patient prefers to complete treatment in a single procedure
  • When the crown is in good condition and the patient does not want it replaced
  • When a post is embedded too firmly, preventing revision root canal treatment

Tooth Replantation
at SMILE FACE DENTAL CLINIC

Using the patient’s own tooth, we restore both natural function and aesthetics.
This personalized treatment is tailored to the surrounding bone and gum structure, supporting long-term oral health.

Don’t Give Up Your Precious Natural Teeth Too Easily!
The Final Option for Saving a Natural Tooth

For large molars where an apicoectomy is not possible, tooth replantation may be performed.
After extraction, the tip of the tooth root causing the inflammation is trimmed by about 3 mm outside the mouth and filled with a specialized material called MTA.


Since teeth with widely separated roots are at high risk of fracturing during extraction, the degree of root separation must be carefully assessed using 3D CT.
At SMILE FACE DENTAL CLINIC, we use 3D CT imaging to perform tooth replantation with greater precision and expertise.

Who Needs Tooth Replantation?
  • When the tooth is located deep in the mouth, such as a molar
  • When an apicoectomy is not possible due to the angle of access
  • When the root canal is blocked or has not been treated for a long time
  • When inflammation at the root tip has progressed severely

One-Day
CEREC Crown
Fabrication Process

Using 3D One-Day CEREC technology, cavities can be treated and crowns or other restorations completed in a single day.
This eliminates the need for temporary fillings and waiting periods, saving time while delivering results that are natural and tooth-friendly.

With the latest CAD/CAM equipment, custom restorations can be precisely designed and fabricated within just one day.

01 Digital Tooth Scan

The tooth is directly scanned to capture an accurate digital impression.

02 Digital Design

The restoration is designed based on the data sent to the computer.

03 Restoration Fabrication

The crown or restoration is fabricated in about 30 minutes.

04 Fine Adjustment

A skilled dental technician performs precise adjustments in our in-house lab before completion.

REAL
REVIEW
SMILE FACE DENTAL CLINIC

View more
Quick Consultation Request
[View]
Contact
031-231-2879
Mon, Tue, Thu
AM 10:00 - PM 07:00
Wed, Fri
AM 10:00 - PM 09:00 (Evening Hours)
Lunch Break
PM 01:00 - PM 02:00
Sat
AM 10:00 - PM 02:00

* Closed on Sundays and public holidays

* Saturday: Open without a lunch break

Location

SMILE FACE DENTAL CLINIC
5F, Seyoung Building,
199 Gwon-gwang-ro, Paldal-gu, Suwon-si,
Gyeonggi-do, South Korea

  • [ Subway ] Exit 8, Suwon City Hall Statio,
    5th floor of the building housing Starbucks
  • [ Bus ] Get off at the Industrial Bank of Korea (IBK) stop
    or at the NewCore Outlet stop across the street
Parking
Ample underground parking available on B7 of the building
  • Address : F, Seyoung Building, 199 Gwon-gwang-ro, Paldal-gu, Suwon-si, Gyeonggi-do, South Korea
  • Clinic Director : Dr. Kang Hyung-kwon
  • Business Registration Number : 365-19-00535
  • TEL : 031-231-2879
  • FAX : 031-231-2878
COPYRIGHT © SMILE FACE DENTAL. ALL RIGHTS RESERVED.