No Two
Orthodontic Treatments
Are the Same
Customized Orthodontics
for Each Condition

Every patient’s teeth alignment and symptoms are unique.
Our clinic provides tailored orthodontic treatment based on precise diagnosis for a variety of conditions, including crowding, gaps, protruding teeth, and underbites.

We go beyond simply straightening teeth, creating treatment plans that consider facial harmony and healthy occlusion, ensuring the most suitable orthodontic results for each patient.

TYPE 01
Open Bite

An open bite occurs when the teeth are not properly aligned, or the front teeth do not meet when biting.
This condition can cause unclear speech, difficulty chewing with the front teeth, and a habitually open mouth.
If left untreated, an open bite may worsen over time, making an accurate diagnosis essential.

TYPE 02
Protrusion

Protrusion is a condition in which the lips or teeth extend forward relative to the tip of the nose or chin.
Individuals with protruding teeth may have difficulty closing their mouths comfortably, and it can create an appearance of tension or anger.
Treatment is necessary to reposition the teeth and gums into proper alignment.

TYPE 03
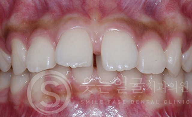
Spaced Teeth

Spaced teeth occur when there are significant gaps between the teeth, often caused by missing teeth, small tooth size, or misalignment.
Because the teeth do not fit together properly, this can lead to discomfort.
Orthodontic treatment is required to move the teeth into proper positions and close the gaps.

TYPE 04
Underbite

An underbite occurs when the lower jaw protrudes, causing the lower teeth to extend beyond the upper teeth.
This can affect functions such as speech and chewing.
If the discrepancy between the upper and lower jaws is not severe, treatment with orthodontics alone may be sufficient.

TYPE 05
Bunny Teeth

Bunny teeth refer to a condition where the two front teeth (central incisors) noticeably protrude and are misaligned.
The prominent front teeth can give a playful appearance, and targeted orthodontic treatment can correct the alignment of the front teeth.

TYPE 06
Crowded Teeth

Crowded teeth occur when there is insufficient space for permanent teeth due to abnormalities in tooth size, shape, or position, causing them to be crooked or overlapping.
This can lead to problems with chewing, aesthetics, and speech, and may also increase the risk of cavities and gum disease.

We Promise Systematic
Orthodontic Care.
What Makes
SMILE FACE
DENTAL CLINIC
Stand Out

We carefully analyze each patient’s dental condition and facial balance to develop a customized orthodontic treatment plan.
Throughout the treatment process, patient comfort and satisfaction are our top priorities, and we strive to help you maintain a healthy, beautiful smile for years to come.

Over 3,000
Orthodontic Cases Completed

With years of accumulated clinical experience, we are able to address a wide variety of dental structures and orthodontic needs.
Each patient receives a treatment plan tailored for optimal results, ensuring reliable and trusted outcomes.

Use of Certified
Orthodontic Products
&
Dedicated
Orthodontic Hygienists

We use certified orthodontic appliances with proven safety and effectiveness, meticulously managed by specially trained, dedicated orthodontic hygienists.
Throughout the entire treatment process, we maintain the highest standards of safety and hygiene.

1:1 Personalized
Treatment Plan
&
Collaborative Care
by Specialists

We create a customized treatment plan tailored to each patient’s dental condition and facial balance.
Specialists in orthodontics, prosthodontics, TMJ, and other fields work closely together to deliver the best possible treatment outcomes.

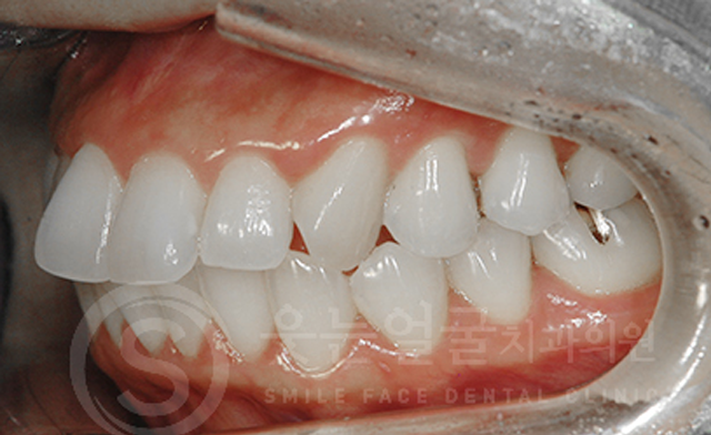
Orthodontic
Before & After Photos

View more

REAL
REVIEW
SMILE FACE DENTAL CLINIC

View more
Quick Consultation Request
[View]
Contact
031-231-2879
Mon, Tue, Thu
AM 10:00 - PM 07:00
Wed, Fri
AM 10:00 - PM 09:00 (Evening Hours)
Lunch Break
PM 01:00 - PM 02:00
Sat
AM 10:00 - PM 02:00

* Closed on Sundays and public holidays

* Saturday: Open without a lunch break

Location

SMILE FACE DENTAL CLINIC
5F, Seyoung Building,
199 Gwon-gwang-ro, Paldal-gu, Suwon-si,
Gyeonggi-do, South Korea

  • [ Subway ] Exit 8, Suwon City Hall Statio,
    5th floor of the building housing Starbucks
  • [ Bus ] Get off at the Industrial Bank of Korea (IBK) stop
    or at the NewCore Outlet stop across the street
Parking
Ample underground parking available on B7 of the building
  • Address : F, Seyoung Building, 199 Gwon-gwang-ro, Paldal-gu, Suwon-si, Gyeonggi-do, South Korea
  • Clinic Director : Dr. Kang Hyung-kwon
  • Business Registration Number : 365-19-00535
  • TEL : 031-231-2879
  • FAX : 031-231-2878
COPYRIGHT © SMILE FACE DENTAL. ALL RIGHTS RESERVED.